Ярославль ваш город?
Да
Выбрать другой город

МРТ аппарат GE SIGNA Pioneer 3.0T

В наличии
SIGNA Pioneerдает возможность использовать 3.0T там, где это было невозможно ранее. Представьте, что вы размещаете систему 3.0T в помещении, предназначенном для 1.5Т. Ее площадь размещения — одна из наименьших в своем МР-сегменте, на 25% меньше, чем у обычных систем 3.0Т.
В корзине
Лизинг
Доставка и лизинг по всей России
Включая Дагестан, Чечню и Крым
Гарантия
Гарантия на медицинское оборудование от производителя!
Послепродажный сервис
Инженерная поддержка
Инструктаж по монтажу и обучение персонала включены в стоимость
Гибкие условия
Оперативная доставка
Лизинг и доставка оборудования в наличии от 1 рабоего дня

Более низкая стоимость эксплуатации — SIGNA Pioneer потребляет на 50% меньше электроэнергии, чем обычные МРТ 3.0Т, при этом обеспечивается высокая производительность благодаря инновационной технологии сверхэффективной градиентной системы.

Система обеспечивает легкое сканирование, автоматическую оптимизацию протоколов, простой и автоматизированный рабочий процесс сканирования при задержке дыхания.

Снижение количества артефактов и, как следствие, уменьшение повторных сканирований.

SIGNA Pioneer помогает внедрять подход, ориентированный на пациента, который основан на максимальном комфорте и снижении тревожности при обследовании.

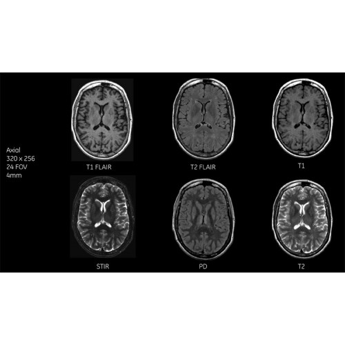
Детализация изображений

Система SIGNA Pioneer воплощает поразительные достижения в области визуализации. Передовая технология Total Digital Imaging (TDI) позволяет добиться большей четкости изображений и на четверть повысить соотношение сигнал/шум.

TDI построена на трех базовых компонентах:

  • Технология Direct Digital Interface (DDI) использует независимый аналого-цифровой преобразователь для оцифровки сигнала от каждого из 97 радиочастотных каналов, что обеспечивает значительное увеличение качества за счет уменьшения фонового шума.
  • Технология Digital Micro Switching (DMS) — это следующее поколение технологий радиочастотных катушек, основанное на замене аналоговых схем блокировки сверхбыстрыми микропереключателями (MEMS), что делает возможным быстрое переключение катушек для дальнейшего расширения возможностей визуализации с нулевым TE.
  • Технология Digital Surround Technology (DST) — это новая технология объемной оцифровки данных, объединяющая сигналы от каждого элемента катушки. Прекрасное соотношение сигнал/шум и чувствительность поверхностных катушек в сочетании с превосходной однородностью и высокой проникающей способностью встроенной радиочастотной катушки — все это позволяет создавать качественные изображения не только позвоночника, но и всего тела.

Помимо технологии 97 РЧ-каналов, SIGNA Pioneer использует магнит 3.0Т высокой однородности, предназначенный для повышения качества визуализации во всех областях, а также закладывающий прочный фундамент для долгосрочных инвестиций и роста клинических возможностей.

Комфорт для пациентов

В системе SIGNA Pioneer дизайн ориентирован на пациента. Он был разработан с учетом новых принципов повышения комфорта и снижения стресса, включая широкую апертуру туннеля 70 см и усовершенствованный дизайн стола пациента.

Благодаря революционному программному пакету Silent Suite уровень шума снижается до 77 дБ, что всего на 3 дБ выше уровня окружающей среды. Программный пакет Silent Suite теперь включает полный пакет приложений для исследования ЦНС (T1, T2 FLAIR, DWI10, МРА). Кроме того, мы расширили возможности визуализации Silent за пределы ЦНС для исследований скелетно-мышечной системы и позвоночника. Silent Suite – платформа, содержащая в себе все импульсные последовательности для бесшумного сканирования.

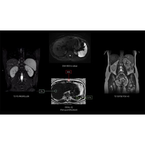
Технологии SIGNA Pioneer позволяют проводить полное исследование брюшной полости при свободном дыхании, минимизируя артефакты движения пациента, в том числе с МР-динамическим контрастированием.

Характеристики
Мощность:
3.0 тесла
Тип МРТ:
закрытый
Апертура гентри (мм) :
700
Мощность магнита, Т :
3
Тип магнита :
сверхпроводящий
Градиент магнитного поля :
36
Скорость нарастания градиента (мТ/м/мкс) :
150
Общие
Категория:
МРТ-аппараты, Полуоткрытые аппараты МРТ, МРТ аппараты для животных
Бренд:
GE Healthcare
Онлайн калькулятор
Цена
Ориентировочная цена модели
Аванс
10% 100%
 
Срок лизинга
12 месяцев 36 месяцев
 
Ежемесячный платёж
Первоначальный взнос
* Рассчет платежа носит информационный характер и не является публичной офертой.
Условия лизинга индивидуальны для каждого договора.
Условия лизинга
  • По всей России (Включая Крым, Дагестан и Чечню)
  • Авансовый платеж от 10% (для УЗИ брендов GE, Mindray и Samsung)
  • Оформление лизинга от 48 часов
  • Возможность досрочного погашения
  • Лизинг оборудования от 1 года
Давайте обсудим
Покупку или лизинг
медицинского оборудования