Ярославль ваш город?
Да
Выбрать другой город

МРТ аппарат GE SIGNA Architect 3.0T

В наличии
SIGNA Architect 3.0T — это новейший МРТ аппарат компании GE, который предлагает высочайший уровень производительности — в системе 128 приемных каналов, 48 канальная катушка головы, полный спектр клинических возможностей. Высокий уровень комфорта пациента обеспечивают такие особенности как отсоединяемый стол, положение пациента «ногами вперед» для всех видов исследований, SilentWorks — бесшумное и MAGIC — быстрое сканирование.
В корзине
Лизинг
Доставка и лизинг по всей России
Включая Дагестан, Чечню и Крым
Гарантия
Гарантия на медицинское оборудование от производителя!
Послепродажный сервис
Инженерная поддержка
Инструктаж по монтажу и обучение персонала включены в стоимость
Гибкие условия
Оперативная доставка
Лизинг и доставка оборудования в наличии от 1 рабоего дня

Теперь возможности МРТ поражают еще больше благодаря ультрасовременным решениям для визуализации с SIGNA Architect 3.0 Тл, объединяющей новейшие достижения в области МР-технологий и интуитивно понятный интерфейс. Система SIGNA Architect, разработанная на базе новой платформы SIGNA Works, представляет собой гармоничное сочетание дизайна и функциональности. Каждый элемент системы направлен на повышение производительности, эффективности клинической практики, финансовых показателей, а также комфорта и безопасности пациента.

Поле обзора 50x50x50 см и апертура шириной 70 см позволят достоверно визуализировать сложные анатомические области для пациентов с крупным телосложением, например, плечи и бедра. Феноменальная однородность системы SIGNA Architect обеспечивает наиболее широкое поле обзора с улучшенными характеристиками градиентов. Ничто не останется незамеченным.

SIGNA Works

Новейшая платформа SIGNA Works повышает производительность ключевых технологий визуализации GE Healthcare. SIGNA Architect поставляется с предустановленными стандартными приложениями. Расширенные функции SIGNA Works с возможностью обновления позволят устанавливать новые приложения в соответствии с растущими потребностями вашей клинической практики.

Стандартный пакет приложений SIGNA Works позволит вам достичь желаемых результатов в клинической практике благодаря набору высокоэффективных средств визуализации. Программные приложения, входящие в состав данных клинических пакетов, включают широкий спектр контрастов, функции обработки 2D- и 3D-данных, а также возможность коррекции артефактов движения. SIGNA Works предоставляет набор инструментов, необходимых для проведения эффективного клинического исследования.

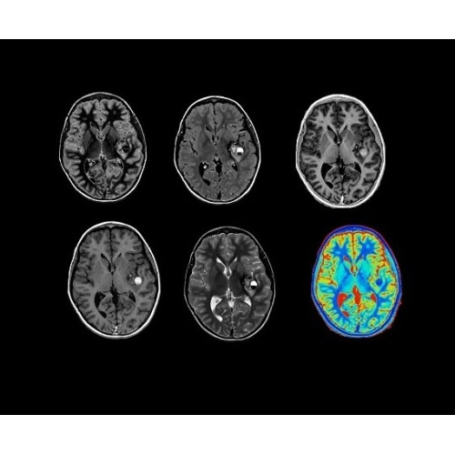
  • NeuroWorks — универсальное решение для визуализации анатомии головного мозга, позвоночника, сосудов и периферических нервов с четкой дифференциацией тканей.
  • OrthoWorks — программное решение для визуализации структур опорно-двигательного аппарата с прекрасным контрастированием тканей.
  • BodyWorks — для визуализации абдоминальной и тазовой областей, подстраиваясь под запросы пользователя с учетом любых типов пациентов.
  • OncoWorks — клинические приложения для обработки и визуализации анатомических и морфологических данных, специфичных для каждого типа онкологических образований.
  • CVWorks — приложения для кардио-визуализации помогут получить данные о морфологии, динамике кровотока, функции миокарда, а также информацию о структуре сосудов и динамике кровотока.
  • PaedWorks — набор специализированных протоколов, позволяющих без усилий удовлетворять потребностям самых маленьких и уязвимых пациентов.

Выведите клиническую практику на новый уровень — выходите за рамки стандартов благодаря инновационным приложениям SIGNA Works. Улучшенное качество изображений, повышенная эффективность и оптимизированный рабочий процесс помогут вам сканировать, как никогда прежде.

  • HyperWorks — пакет програмных приложений, который включает технологию HyperSense для поразительной визуализации и скорости.
  • SilentWorks — технология шумоподавления, которая снижает уровень шума для некоторых видов исследований до минимальных значений.
  • ImageWorks — повысит производительность МРТ благодаря визуализации высокого качества с MAGIC, четкими результатами пост-процессинга с READYView.

Новый уровень производительности

Передовая платформа делает ее одной из самых универсальных, адаптируемых и мощных систем, разработанных GE Healthcare на сегодняшний день. Благодаря визуализации в положении «ногами вперед» сканировать все тело становится проще простого. Динамичная и информативная система SIGNA Architect создана работать для вас.

Технология полной оцифровки изображения Total Digital Imaging (TDI) предлагает потрясающие достижения в области визуализации:

  • Технология Direct Digital Interface (DDI)использует независимый аналого-цифровой преобразователь для оцифровки сигнала от каждого из 128 радиочастотных каналов, что обеспечивает значительное увеличение качества за счет уменьшения фонового шума.
  • Технология Digital Micro Switching (DMS)— это следующее поколение технологий радиочастотных катушек, основанное на замене аналоговых схем блокировки сверхбыстрыми микропереключателями (MEMS).
  • Digital Surround Technology (DST)— это новая технология объемной оцифровки данных, которая объединяет сигналы от каждого элемента катушки. Прекрасное соотношение сигнал/шум и чувствительность поверхностных катушек в сочетании с превосходной однородностью и высокой проникающей способностью встроенной радиочастотной катушки — все это позволяет создавать качественные изображения не только позвоночника, но и всего тела.
  • 48-канальная катушка TDI для головы, входящая в базовую комплектацию SIGNA Architect, обеспечивает феноменальную производительность с учетом особенностей каждого пациента. Благодаря гибкому и универсальному дизайну, высокому соотношению сигнал/шум и передовым технологиям визуализации, таким как HyperWorks, учитываются потребности подавляющего большинства пациентов.

Передвижной стол eXpress

Стол пациента eXpress системы SIGNA Architect позволяет проводить визуализацию как в положении «ногами вперед», так и «головой вперед», делая обследование более комфортным, быстрым и узкоспециализированным. Поверхность нашего стола обладает эффектом «памяти положения тела», уменьшая давление в точках соприкосновения. Благодаря мобильности стола вам не нужно больше беспокоиться о том, как быстро вы сможете эвакуировать пациента в экстренной ситуации. А с технологией IntelliTouch вы сможете уложить пациента в комфортном положении, просто коснувшись края стола.

Характеристики
Мощность:
3.0 тесла
Общие
Категория:
МРТ-аппараты, Полуоткрытые аппараты МРТ, МРТ аппараты для животных
Бренд:
GE Healthcare
Онлайн калькулятор
Цена
Ориентировочная цена модели
Аванс
10% 100%
 
Срок лизинга
12 месяцев 36 месяцев
 
Ежемесячный платёж
Первоначальный взнос
* Рассчет платежа носит информационный характер и не является публичной офертой.
Условия лизинга индивидуальны для каждого договора.
Условия лизинга
  • По всей России (Включая Крым, Дагестан и Чечню)
  • Авансовый платеж от 10% (для УЗИ брендов GE, Mindray и Samsung)
  • Оформление лизинга от 48 часов
  • Возможность досрочного погашения
  • Лизинг оборудования от 1 года

Диаметр апертуры, см

70

Максимальный вес пациента, кг

200

Тип контура

Закрытый

Тип аппарата

Высокопольный

Тип магнита

Сверхпроводящий

Напряженность магнитного поля, Т

1,5

Тип охлаждения

Жидкий гелий

Разъемный стол

Да

FOV (поле обзора), см

50

Подавление артефактов от движения

Да

Максимально поддерживаемое количество РЧ

128

Снижение шумоподавления изображения

Да

МР-спектроскопия

Да

МР-диффузия

Да

МР-перфузия

Да

МР-ангиография

Да

Кардиоисследования

Да

Функциональная МРТ

Да

Наличие наушников

Нет

Снижение акустического шума

Да

"Виртуальный театр"

Нет

Давайте обсудим
Покупку или лизинг
медицинского оборудования